Tendencias
Últimos 7 días

42:05
Injertos Óseos
ROG palatina con emdogain y autólogo.
Desarrollo_OST· 13 0 0

12:47
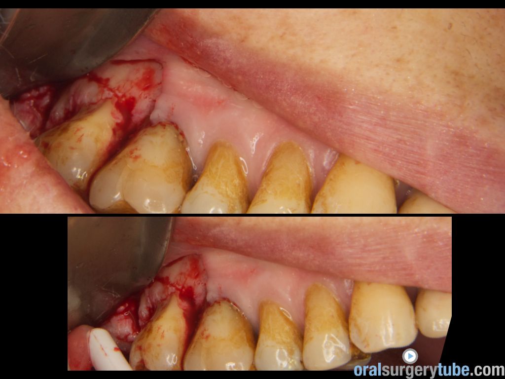
Mucogingival
Injerto de Tejido Conectivo en posición 21.
Desarrollo_OST· 7 0 0

9:23
Cirugía Oral
Extracción Quirúrgica de premolar incluido en mandíbula.
Desarrollo_OST· 5 0 0

5:51
Cirugía Oral
Biopsia tumoracion suelo de boca
Desarrollo_OST· 4 0 0

1:30:45
Directos
Retransmisión 31-03-26: Dr. Juan Alberto Fernández Ruiz
Desarrollo_OST· 4 0 0
Últimas Retransmisiones

1:30:45
Directos
Retransmisión 31-03-26: Dr. Juan Alberto Fernández Ruiz
Desarrollo_OST· 4 0 0

4:21:45
Directos
2º Retransmisión 23-03-2026: Dr.Juan Alberto Fernández Ruiz
Desarrollo_OST· 13 0 0

2:22:34
Directos
Retransmisión 23-03-2026: Dr. Juan Alberto Fernández Ruiz
Desarrollo_OST· 5 0 0

1:01:42
Directos
Colocación de implantes en 34 y 36 con ROG simultánea
Desarrollo_OST· 47 0 0

1:41:39
Directos
Cierre de comunicación orosinusal con tejido duro y blando
Desarrollo_OST· 20 0 0
Añadidos Recientemente
Más Populares
De todos los tiempos
Videos Gratuitos
Gratis





