Regeneración e implante en 2.1 ¿fallida?
Compartimos un caso de un compañero a ver que os parece
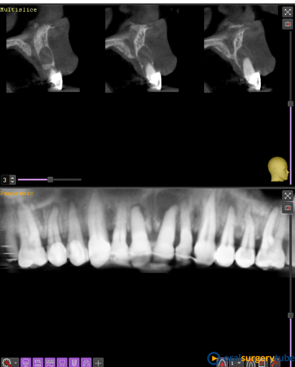
Paciente mujer joven, fumadora y de higiene regular. Con periodontitis moderada estabilizada pero con mal mantenimiento y con un proceso muy avanzado en el 21. Se le realiza en el mismo acto la extracción, legrado y lavado profuso, fresado y colocación guiada del implante con torque de 20N . Y después se regenera el aveolo con mix de autólogo de rama rascado con un micross y Bioss collagen y un injerto de tuberosidad en vestibular. No se hace carga inmediata por la baja estabilidad, se coloca y tapón de cicatrización y periacryl para sellar. Buscando un tratamiento similar (salvando mis infinitas limitaciones y distancias) a los protocolos de actuación de dos gigantes como Mesquita (implanteperio) y/o el de David González y su articulo de 3 Layers para alveolos sin tabla. Me decido por esta opción ya que todo lo que fuese levantar un colgajo sería al 100% un desastre estético y no estoy capacitado para un bloque mixto de tuberosidad ósea y blanda. Quizá haya fallado mi diagnostico o mi técnica.
Aparentemente la cicatrización es buena, asintomático y con buen aspecto. Pero en el control a 4 meses veo muchísima reabsorción de mi regeneración en vestíbulo. Sería por el potencial osteoclástico en ese lecho? o por no poner una capa de reabsorción lenta en la parte más externa?... en unos días probaré a ver si no me quedo con el implante en la mano.
Se aceptan todo tipo de comentarios de cualquier índole para hacer un poco de debate que últimamente escasea un poco en el foro y era lo mejor que tenía después de los vídeos de Alberto.
Un saludo a todos


