Live Surgery
MADRID

09
:
15
D:
18
M:
11
MEXICO D.F.

02
:
15
D:
18
M:
11
ISTAMBUL

10
:
15
D:
18
M:
11
NEW YORK

03
:
15
D:
18
M:
11
CAMBERRA

18
:
15
D:
18
M:
11
NEXT EVENT
Tuesday 18 09:15h
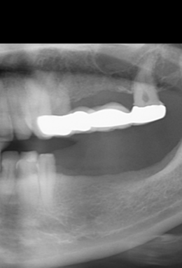
Placement of implants in positions 35i and 37i, with simultaneous placement of connective tissue graft.
https://vimeo.com/event/2037848/embed
We are here https://vimeo.com/event/2212789