Última actualización						
						
							2023-07-11 15:00:10						
					
							0 Vídeos / 1 Imágenes					
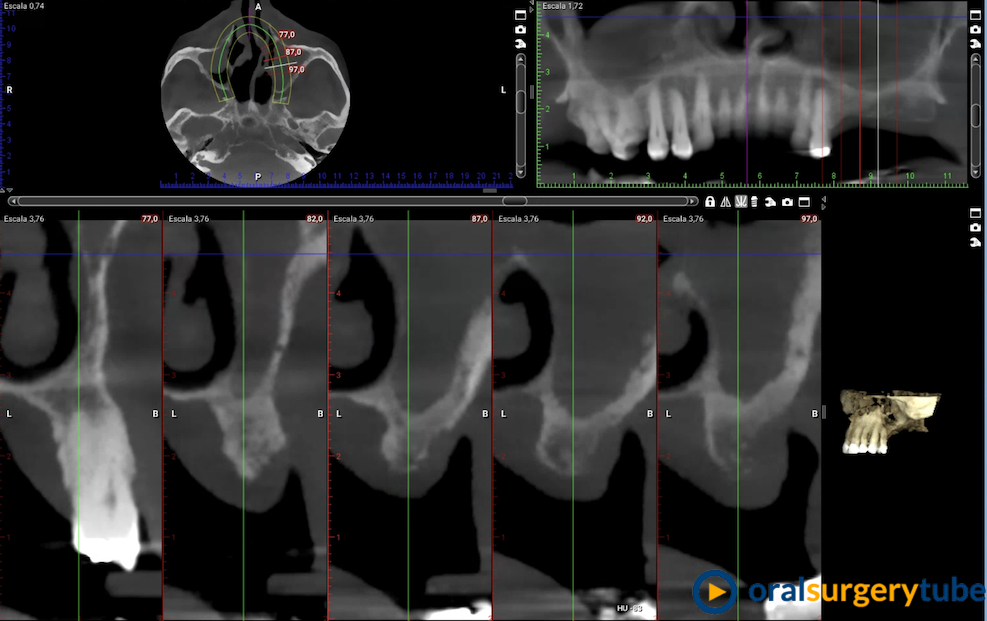
				REGENERACIÓN OSEA DEL CUADRANTE 2
Buenos dias, queria regenerar con altura y anchura el cuadrante dos.
¿Que tipo de hueso debo de utilizar?
- ¿Mezcla de cortical con esponjoso?
- ¿Cortical desmeralizado, meralizado? etc
o ¿coloco unos tornillos a modo de tienda de campaña?
No he colocado nunca membrana rigida, no reabsorbible
							Dr. Tellitu Gartiz						
						
							Spain						
						            
              
              Seguir a este doctor
            
            					
	 				Comentarios (4)	 			
	 			
  									Fernández, Juan Alberto  								
  								
  									 22-09-2023 22:02  								
  								  								Excelente respuesta.
  							
  									Sevilla, DAVID  								
  								
  									 21-09-2023 11:00  								
  								  								Buenos días, yo en mi experiencia te recomendaría que utilices una técnica que manejes y no optaría por una membrana tipo PTFE o malla no reabs...entre otras cosas, por ser un maxilar posterior y el riesgo de exposición es mayor al necesitar la liberación solo a expensas de un colgajo (el vestibular). Yo haría fresado con oseodensificación + regeneración con autólogo y aloinjerto estratificado (se puede mezclar, pero me gusta más el autólogo en contacto con el implante, aunque luego  se mezcle la siguiente capa). y membrana que manejes bien junto con tu sistema de chinchetas de confianza.
  							
  									Fernández, Juan Alberto  								
  								
  									 13-07-2023 16:23  								
  								  								Estas preguntas son siempre difíciles de responder, dado que es muy distinto contar lo que yo haría y lo que pienso que tú puedes hacer. Siempre digo que es mejor hacer aquello con lo que te sientas más cómodo.Tampoco veo descabellado que coloques los implantes y simultáneamente hagas una regeneración ósea.
Todas las opciones que planteas son sensatas. Yo creo que usaría hueso autógeno particulado, de relleno, cubierto con cortical de aloinjerto mineralizado. Lo puedes cubrir con membrana de colágeno perfectamente chincheteado y pa lante.
  							
