Última actualización
2024-12-03 08:46:18
0 Vídeos / 5 Imágenes
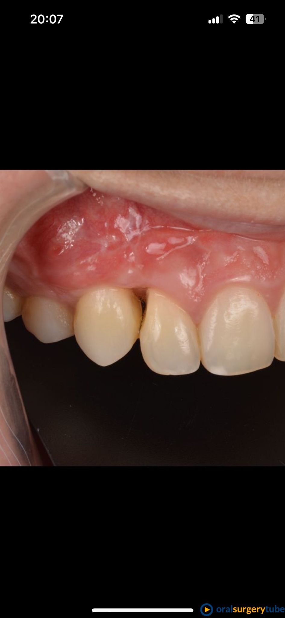
Seguimiento de caso de defecto vertical entre dos dientes (12 y 13) tras cirugía ortognática.
Paciente de mediada edad que es remitida para intentar mejorar el estado periodontal de los dientes 12 y 13 tras cirugía ortognática. A la paciente le habían realizado previamente varios injertos de tejido conectivo y empleo de Emdogain® sin éxito. Se plantea hacer técnica de Wall technique de Zucchelli modificada para simultanear técnicas de regeneración ósea guiada.
Dr. Fernández
Spain
Seguir a este doctor
Comentarios (8)

Fernández, Juan Alberto
11-12-2024 18:00
Pues sinceramente creo que tienes toda la razón del mundo. Salvo en lo de la envidia, a mi no se me puede envidiar nada. Soy un matado, currante hasta la médula que se deja el pellejo por los demás, eso sólo genera sufrimiento e incomprensión ajena. Así que nada de nada.
Weis, Jon
11-12-2024 12:34
hombre, siempre puedes volver a injertar blando, extrusión, endos, coronas bopt... y reinjertar otra vez...etc para cubrir la recesión y crear algo de papila ( o no, ojo) , pero ahí ya estamos en la línea entre la odontología real (de nivel altísimo) y el sobretratamiento para charla de congreso que hacen muchos por ahí... Está genial, tengo envidia sana.
Fernández, Juan Alberto
09-12-2024 12:54
Bueno, me hubiera encantado poder cubrir toda la recesión, pero creo que hemos llegado al máximo que se podía.
Ver todos los comentariosOcultar los comentarios
Weis, Jon
09-12-2024 10:45
Qué bueno!
Weis, Jon
05-12-2024 15:41
ok, muchas gracias, me reitero en lo dicho, fino fino. Hay que estar muy seguro de lo que se hace en un caso así, porque no más frecuente es que se deje peor de cómo se encontró. Y tener un equipazo alrededor para poder realizarlo, si no leches. Felicitaciones.
Fernández, Juan Alberto
05-12-2024 12:57
Pues muchas gracias, le hicimos fotos sí, las comparto en breve. Segundo, levantar más la papila para facilitar la cirugía hubiera comprometido el aporte vascular ( irrigación terminal de la papila, que además tenía q nutrir la parte vestibular); y respecto a la chincheta, ahí se queda, si molesta algún día ya se quitará. La verdad q estoy muy orgulloso del caso, a esta paciente le iban a quitar los dos dientes, ella está encantada. Muchas gracias por tu comentario sobre la finura. Muchas veces pienso q los compañeros me tienen por muy invasivo, cuando no lo soy en absoluto.
Weis, Jon
05-12-2024 12:23
Que finura de trabajo, enhorabuena Alberto. Dos preguntas: 1) por qué no levantaste más en palatino? al fin y al cabo al final del proceso se ve que está la papila levantada ya del todo y un "sobre" (mini sobre) con hueso expuesto. Complicaría muchichímio menos la manipulación y la visión, no? 2) que sucede con esa chincheta que queda tapada con el colgajo?, cuándo y cómo se retira?. Tenéis foto de alguna revisión reciente?. (eran 3 preguntas, no dos.. :) )